Home
Highlights
Workshop Day 1
Workshop Day 2
Conference
Program Brochure
Our Teams
International Faculty
Organising Committee
Registration
Abstract
Contact
Workshop Day 1
1a. ISUOG GUIDELINE BASED OBGYN ULTRASOUND
11-14 weeks updated guidelines
Biometry and fetal growth guidelines
Preterm Labour
Cardiac Guidelines
Twin Pregnancy Guidelines
Doppler in Obstetrics
Fetal infections
Gynecological scan which guidleines are we using ?
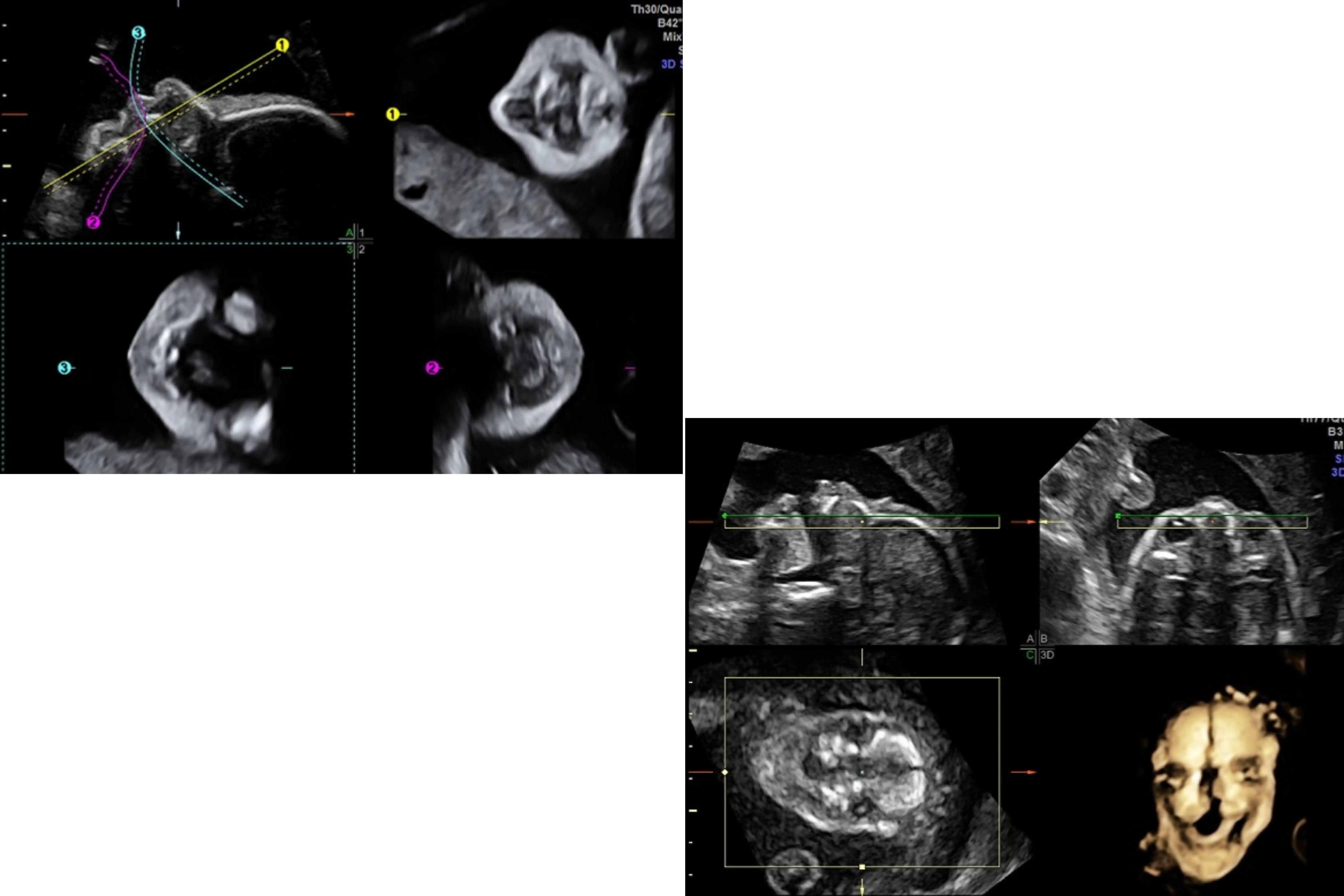
1b. Fetal Face and Spine from Diagnosis to Management
Applied embryology
Understanding facial biometry
Optimal use of Technological advances for assessment of fetal face and spine
Assessing and standardized reporting of spinal anomalies
Fetal MRI in Fetal Spine Assessment
Facial anomalies- what do we tell prospective parents?
1c. Advanced 3D/4D workshop
Understanding Acquisition, Manipulation of 3D volumes in First Trimester
Skeletal System
Fetal Vascular System
Fetal Brain
Use of STIC - Cardiac 4D